U.S. Air Forces Central Command
Join the Air Force
Home
Disclaimer
News
Photos
Video
About
Mission
Airpower Summaries
Biographies
Fact Sheets
Units
379th Air Expeditionary Wing
News
Commentaries
Biographies
Fact Sheets
Videos
Photos
Hometown News Release
Families at Al Udeid
380th Air Expeditionary Wing
News
Commentaries
Biographies
Fact Sheets
Videos
Photos
386th Air Expeditionary Wing
News
Commentaries
Features
Biographies
Fact Sheet
Photos
Videos
Units
438th Air Expeditionary Wing
News
Commentaries
Features
Biographies
Fact Sheets
Photos
Videos
455th Air Expeditionary Wing
News
Biographies
Fact Sheet
Units
Photos
Videos
332nd Air Expeditionary Wing
News
Commentaries
Biographies
Videos
Photos
407th Air Expeditionary Group
News
Red Tails Spotlight
Biographies
Photos
Fact Sheets
AFCENT Band
News
Photo Gallery
Contact Us
FOIA Request
Search AFCENT:
Home
>
News
>
Photos
Image Gallery
Keyword:
Category:
All Images
Aircraft
Other
Tag:
Sort By:
Upload Date
Photo Date
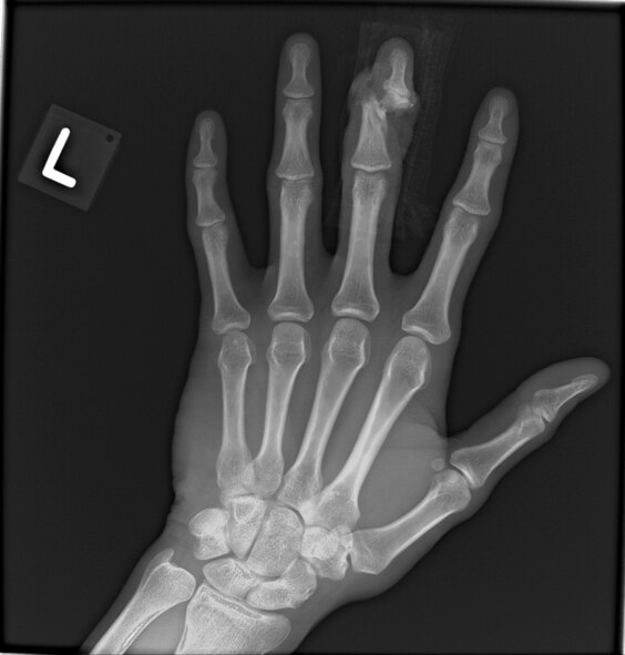
Doc saves digit, loadmaster back on track
An X-ray of Airman 1st Class Daniel Cherry's left hand depicts where his middle finger was nearly sliced in two by a 4,000 pound pallet. Cherry, a C-17 Globemaster III loadmaster deployed from Charleston Air Force Base, S.C., was loading cargo onto an aircraft when his finger became stuck on a D-ring and was nearly amputated between a pallet and loading rail. (courtesy photo)
Related Imagery
110801-F-9999X-001.JPG
DOWNLOAD PHOTO
(2.21 MB)
Tags
Aircraft
,
Special Interest
,
C-17 Globemaster III
Back to Main Gallery
SharedMediaManager
Site Map
IG
AF Sites
AF Executive Fleet
Questions
FOIA
Contact Us
SAPR
USA.gov
No FEAR Act
RSS
Accessibility
EEO
Link Disclaimer
Strategic APR
Suicide Prevention